欢迎使用寰熙在线询盘系统,我们将会在您提交信息后15分钟后给您回电!
尊敬的用户:根据《医疗器械监督管理条例》企业经营医疗器械提供相关经营资质,谢谢配合!
注册证号:粤械注准20182230198 有效期截止:2023/2/28
找维修
找配置
找授权
找证件
找寰熙
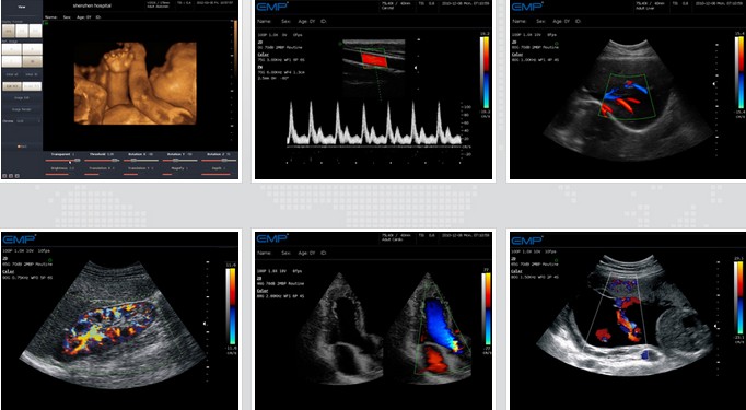
EMP-3000专家版是深圳恩普公司*新推出的一款全身应用型全数字彩色多普勒超声诊断系统,并内置多种图像处理技术,有着很高的通道数
和处理能力,动态范围广,是高性价比机型的理想选择。
应用全数字技术实现高品质图像,适用于腹部、妇科、产科、心脏、泌尿、儿科、血管、介入治疗等领域,满足多种临床诊断要求。
EMP-3000专家版
专家版全数字彩色多普勒超声诊断仪
高超的技术,卓越的产品
● 3D/4D成像
● 一键优化技术
● 频率复合成像技术
● 具有方向能量多普勒
● 空间复合成像技术
● B/CFM/PW实时三同步
● 宽景成像技术
● 噪声抑制技术
临床图片
