尊敬的用户:根据《医疗器械监督管理条例》企业经营医疗器械提供相关经营资质,谢谢配合!
注册证号:粤械注准20182230198 有效期截止:2023/2/28
找维修
找配置
找授权
找证件
找寰熙
EMP-3000精英版是恩普完全自主研发的一款全身应用型彩色多普勒超声诊断系统。该系统采用全数字化技术,配备了性能稳定可靠的
Linux操作平台,整机造型轮廓优美,内部结构合理、贴膜工艺先进、操作舒适,图像细腻真实,能够满足临床多领域的诊断需求。
EMP-3000精英版
精英版全数字彩色多普勒超声诊断仪
高超的技术,卓越的产品
● 组织谐波成像(THI)——消除近场伪像和旁瓣干扰,使组织器官边缘成像更清晰
● 连续动态聚焦(CDF) ——显著提高探测深度和远中近场分辨率,给图像带来质的变化
● 方向能量图(PDI) ——血流成像更简便敏感,是检测血管疾病的有效手段
● 彩色多普勒(CFM) ——实时无创显示区域血流信息,检测客观精确
● 频谱多普勒(CW/PW) ——PW准确分析定点血流速度,精确提供距离分辨力;CW实时测量高速血流,优越的速度分辨力
● 敏感的血流测量 ——优秀的超低速血流检测技术,精度高,用时短
● 优秀的3D成像 ——以更加生动形象的方式提供更多临床重要的信息
● 数字化多波束形成技术 ——增强侧向分辨力,提高时间分辨力,迅速改善图像质量
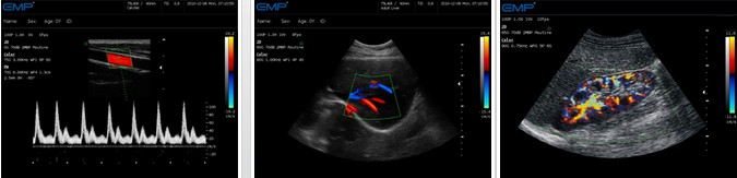
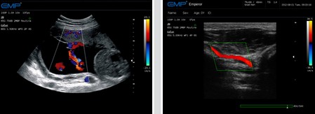
临床图像

