欢迎使用寰熙在线询盘系统,我们将会在您提交信息后15分钟后给您回电!
尊敬的用户:根据《医疗器械监督管理条例》企业经营医疗器械提供相关经营资质,谢谢配合!
注册证号:津食药监械(准)字2011第2300001号
找维修
找配置
找授权
找证件
找寰熙
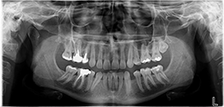
科技领先,全功能CCD传感器,直接数字化成像
采用世界领先科技全功能CCD传感器,连接电脑直接成像,方便快捷
扫描时间短暂,拍摄的图像清晰
采用意大利原装进口机头、传感器与电控板,性能稳定,扫描时间短暂,图像清晰

采用美国SHICK软件,支持中文操作
全新软件系统,支持中文操作,存储方便快捷,支持DICOM协议

配套医用胶片打印系统,输出方便,打印效果行业领先
本机专用医用胶片激光打印机与医用胶片,出片效果优于传统胶片与相片纸打印,美观高档,方便患者存储
