Annefact伪影
原因:
来源于FOV以外的信号,该信号处于非线性的梯度中。
伪影特点:
相位编码方向出现的条带影或点状影。往往在脊柱扫描,选取线圈单元过多时出现。
解决办法:
扫描时启用符合扫描视野的线圈单元组合,不要启用过多。
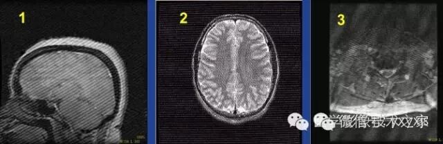
灯心绒伪影
原因:
封闭磁体间内某些放电辐射。
伪影特点:
覆盖整个图像的棘刺状伪影。可为单一方向,也可为多个方向相
交排列。可出现在序列的某一幅图像中,也可出现在整个序列。
1.单一方向--灯心绒伪影
2.两个方向--箭尾状伪影
3.多个方向,多组白噪声点复杂的伪影
解决方法:
(请工程师帮忙检修)
1.检查噪声滤波器。
2.检查内部有无松动部件,检查内部电缆。
合规既生命!
Copyright © 2009-2020 huanxiyl.com All rights reserved
工信部备案号:沪ICP备10211914号-2
沪公安网备: 31019002000128
电子营业执照: 91310116550009229L
互联网药品信息服务资格证: (沪)-非经营性-2019-0011
医疗器械经营许可证:沪宝食药监械经营许20210134号 沪宝食药监械经营备20210168号
违法和不良信息举报电话:4000341688 浙械广审(文)第260817-00667号
知识产权侵权投诉: 寰熙不生产医疗产品,所有产品均来自于各产品的生产厂商、代理商、经销商,如有侵权请联系:400-034-1688,我们会在第一时间处理!